Radostná událost

13.05.2013 20:58

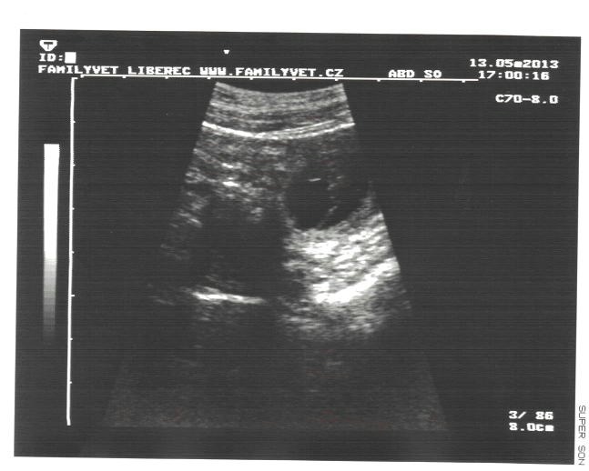
Farrah bude maminka - očekáváme štěňátka !!!

Dnes Farrah absolvovala ultrazvukové vyšetření a k naší veliké radosti se potvrdila její březost. Na prvních sono snímcích jsme poprvé viděli naše budoucí štěňátka, i když tak zatím nevypadají. Farrynka nám udělala velkou radost a o první snímky se s vámi rádi podělíme:

 

 

 

 

 

Zpět